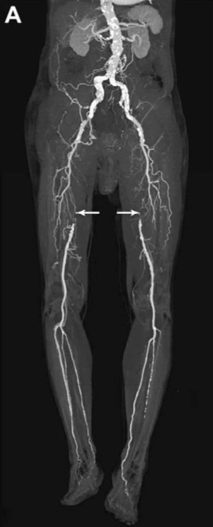
При цьому фахівець отримує об’єктивну інформацію про анатомічну будову судинного русла досліджуваної області, швидкості кровотоку, наявності стенозів (звужень) і оклюзій (повної закупорки), ступеня розвитку колатерального кровообігу в досліджуваній кінцівки.

На підставі цієї інформації консиліумом лікарів виставляються показання до операції і і визначається етапність лікування, з урахуванням всього комплексу передопераційного обстеження проводиться вибір методу реваскуляризації (відкрите шунтування, ендоваскулярне або гібридне втручання).
Артеріографія нижніх і верхніх кінцівок
Як проходить процедура ангіографії?
2. Проведення ангіографії
Під місцевою анестезією виконується пункція артерії ноги, після чого в її просвіт заводиться тонкий катетер, по якому вводиться рентгеноконтрастна речовина. Під час дослідження пацієнт може відчувати тепло по ходу введення контрасту, дуже рідко може бути хворобливість. Тривалість власне ангіографії 10-15 хвилин.
При виконанні ангіографії фахівець отримує об’єктивну і точну інформацію про будову і ураженні артеріального русла досліджуваної області. Отримані зображення зберігаються в електронному вигляді і згодом можуть бути записані на диск і віддані на руки пацієнту.

3. Після дослідження
Після дослідження катетери вилучаються, кровотеча з артерії зупиняється притисненням місця пункції або з використанням спеціального зшиваючого пристрою. Давляча пов’язка знімається на наступний день, тоді ж пацієнтові дозволяється ходити, і він може бути виписаний додому.

Артеріографія нижніх і верхніх кінцівок - при діагностиці облітеруючих захворюваннях артерій (облітеруючий атеросклероз, ендартеріїт).

Це метод візуалізації просвіту артерій та вен шляхом введення в них через катетер рентгеноконтрастних речовин і одночасної рентгеноскопії (відеозапису рентгенівської зйомки), з фіксацією і обробкою отриманого зображення на спеціальному обладнанні.

1. Підготовка до ангіографії
Ангіографія виконується висококваліфікованим лікарем-рентгенендоваскулярним хірургом в стерильній спеціалізованій рентгенопераційній. Протягом усього дослідження здійснюється анестезіологічний моніторинг.